- Home
- Siêu âm tim
- Khuyến cáo thực hành siêu âm tim ase năm 2021
- Bảng 3. Đo các thông số trên siêu âm tim 2D
Khuyến cáo thực hành siêu âm tim ase năm 2021
Bảng 3. Đo các thông số trên siêu âm tim 2D
❮ sautiếp ❯
| Bảng 3. Đo các thông số trên siêu âm tim 2D | ||||||
| Mặt cắt | Đo các thông số tuyến tính | Các thông số cần đo | ||||
| 3.1. Cửa sổ siêu âm cạnh ức Mặt cắt trục dài cạnh ức | ![]() | 1. IVS cuối tâm thu 2. LVDd 3. LVPWd 4. Đường kính thất phải cuối tâm trương | ||||
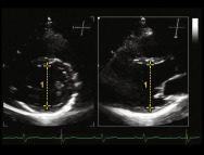
| 3.2a. Cửa sổ siêu âm cạnh ức Ghi hình 2 bình diện | ![]() | Hình ảnh Biplane có thể giúp đặt chùm siêu âm vuông góc với cấu trúc để đo chính xác các kích thước trên hình ảnh 2D 1. LVDs = 47.0 mm | ||||
| 3.2b. Cửa sổ siêu âm cạnh ức Ghi hình 2 bình diện từ trục chính giữa thất trái | ![]() | Hình ảnh Biplane này cho thấy kết quả của việc đo trên hình ảnh lệch trục. 1. LVDs giảm từ 47.0 mm (hình 3.2a) xuống còn 44.0 mm. | ||||
| 3.3. Cửa sổ siêu âm cạnh ức | ![]() | 1. LVDs | ||||
| 3.4a. Cửa sổ siêu âm cạnh ức Mặt cắt trục dài cạnh ức Vách liên thất hình Sigma | ![]() | Vị trí đo dịch về phía mỏm, dưới chỗ phì đại vách liên thất 1. LVDd = 53.0mm 2. IVS = 7.0mm | ||||
| 3.4b. Cửa sổ siêu âm cạnh ức Mặt cắt trục dài cạnh ức Vách liên thất hình Sigma | ![]() | Đo tại đầu mút van hai lá, đo cả phần phì đại vách liên thất 1. LVDd = 38.0mm 2. IVS = 17.0mm | ||||
| 3.5. Cửa sổ siêu âm cạnh ức Mặt cắt trục dài cạnh ức | ![]() | 1. Đường kính đường ra thất phải cuối tâm trương | ||||
| 3.6. Cửa sổ siêu âm cạnh ức Mặt cắt trục dài cạnh ức | ![]() | 1. Đường kính nhĩ trái | ||||
| 3.7. Cửa sổ siêu âm cạnh ức Mặt cắt trục dài cạnh ức Phóng đại hình ảnh vòng van động mạch chủ | ![]() | Đo các đường kính giữa tâm thu: 1. Đường ra thất trái | ||||
| 3.8. Cửa sổ siêu âm cạnh ức Mặt cắt trục dài cạnh ức Phóng đại hình ảnh đường ra thất trái | ![]() | Đo các đường kính giữa tâm thu: 1. Đường ra thất trái 2. Vòng van động mạch chủ | ||||
| 3.9. Cửa sổ siêu âm cạnh ức Mặt cắt trục dài cạnh ức Phóng đại hình ảnh van động mạch chủ và động mạch chủ lên | ![]() | 1. Đường kính động mạch chủ tại xoang Valsalva 2. Đường kính chỗ nối xoang ống động mạch chủ | ||||
| 3.10. Cửa sổ siêu âm cạnh ức Mặt cắt trục dài cạnh ức Động mạch chủ lên | ![]() | 1. Đường kính động mạch chủ lên | ||||
| 3.11. Cửa sổ siêu âm cạnh ức Mặt cắt trục ngắn cạnh ức ngang mức van động mạch chủ | ![]() | 1. Đường kính đoạn gần của đường ra thất phải cuối tâm trương 2. Đường kính đoạn xa của đường ra thất phải cuối tâm trương (hình ảnh được trích dẫn với sự cho phép của Lang và CS. 2015) | ||||
| 3.12. Cửa sổ siêu âm cạnh ức Mặt cắt trục ngắn cạnh ức ngang mức các đại động mạch | ![]() | 1. Đường kính thân động mạch phổi | ||||
| 3.13. Cửa sổ siêu âm từ mỏm Mặt cắt 4 buồng và 2 buồng từ mỏm Tính thể tích thất trái bằng phương pháp tính tổng thể tích các khối hình đĩa trên 2 bình diện | ![]() | 1. Thể tích thất trái cuối tâm trương 2. Thể tích thất trái cuối tâm thu (hình ảnh được trích dẫn với sự cho phép của Lang và CS. 2015) | ||||
| 3.14. Cửa sổ siêu âm từ mỏm Đo thể tích trên siêu âm 3D | ![]() | 1. Tính phân suất tống máu thất trái từ dữ liệu hình ảnh 3D | ||||
| 3.15. Cửa sổ siêu âm từ mỏm Mặt cắt 4 buồng tử mỏm Đo thể tích các tâm nhĩ | ![]() | 1. Chiều cao nhĩ trái 2. Diện tích nhĩ trái | ||||
![]() | 1. Chiều cao nhĩ phải 2. Diện tích nhĩ phải | |||||
| 3.16. Cửa sổ siêu âm từ mỏm Mặt cắt 2 buồng tử mỏm Đo thể tích nhĩ trái | ![]() | 1. Chiều cao nhĩ trái 2. Diện tích nhĩ trái | ||||
| 3.17. Cửa sổ siêu âm từ mỏm Mặt cắt 4 buồng tử mỏm khu trú vào thất phải | ![]() | 1. Đường kính đáy thất phải 2. Đường kính giữa buồng thất phải 3. Chiều dài thất phải | ||||
| 3.18. Cửa sổ siêu âm từ mỏm Mặt cắt 4 buồng tử mỏm khu trú vào thất phải | ![]() | 1. Diện tích thất phải | ||||
| 3.19. Cửa sổ siêu âm dưới sườn Ghi hình tĩnh mạch chủ dưới | ![]() | 1. Đường kính tĩnh mạch chủ dưới | ||||





















