- Home
- Siêu âm tim
- Khuyến cáo thực hành siêu âm tim ase năm 2021
- Bảng 5. Quy trình ghi hình siêu âm doppler màu
Khuyến cáo thực hành siêu âm tim ase năm 2021
Bảng 5. Quy trình ghi hình siêu âm doppler màu
❮ sautiếp ❯| Bảng 5. Quy trình ghi hình siêu âm doppler màu | ||||||
| Mặt cắt | Hình ảnh siêu âm tim qua thành ngực | Cấu trúc khảo sát | ||||
| 5.1. Cửa sổ siêu âm cạnh ức (video 69) Mặt cắt trục dài cạnh ức Đường ra thất phải | ![]() | Dòng Doppler màu tại: Đường ra thất phải (RVOT) Động mạch phổi (PA) | ||||
| 5.2. Cửa sổ siêu âm cạnh ức (video 70) Mặt cắt trục dài cạnh ức Buồng nhận thất phải | ![]() | Dòng Doppler màu tại: Van ba lá (TV) Nhĩ phải (RA) Thất phải (RV)
| ||||
| 5.3. Cửa sổ siêu âm cạnh ức (video 71) Mặt cắt trục dài cạnh ức Buồng nhận thất phải và hở ba lá | ![]() | Dòng Doppler màu tại: Van ba lá (TV) Dòng hở ba lá (TR jet) Nhĩ phải (RA) Thất phải (RV)
| ||||
| 5.4. Cửa sổ siêu âm cạnh ức (video 72) Mặt cắt trục ngắn cạnh ức ngang qua gốc các đại động mạch Van ba lá và buồng nhận thất phải | ![]() | Dòng Doppler màu tại: Van ba lá (TV) Nhĩ phải (RA) Thất phải (RV) | ||||
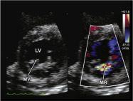
| 5.5. Cửa sổ siêu âm cạnh ức (video 73) Mặt cắt trục dài cạnh ức Phóng đại (Zoom) hình ảnh van hai lá | ![]() | Dòng Doppler màu tại: Van hai lá (MV) Nhĩ trái (LA) Thất trái (LV)
| ||||
| 5.6. Cửa sổ siêu âm cạnh ức (video 74) Mặt cắt trục ngắn cạnh ức ngang qua van hai lá | ![]() | Dòng Doppler màu tại: Thất trái (LV) Van hai lá (MV)
| ||||
| 5.7. Cửa sổ siêu âm từ mỏm (video 75) Mặt cắt 4 buồng |
| Dòng Doppler màu tại: Nhi trái (LA) Van hai lá (MV) Thất trái (LV)
| ||||
| 5.8. Cửa sổ siêu âm từ mỏm (video 76) Mặt cắt 2 buồng | ![]() | Dòng Doppler màu tại: Nhi trái (LA) Van hai lá (MV) Thất trái (LV)
| ||||
| 5.9. Cửa sổ siêu âm cạnh ức (video 77) Mặt cắt trục dài cạnh ức Phóng đại hình ảnh van động mạch chủ | ![]() | Dòng Doppler màu tại: Van động mạch chủ (AV) Đường ra thất trái (LVOT) Động mạch chủ (Ao)
| ||||
| 5.10. Cửa sổ siêu âm cạnh ức (video 78) Mặt cắt trục ngắn cạnh ức Ghi hình ba lá van động mạch chủ | ![]() | Dòng Doppler màu tại van động mạch chủ (AV)
| ||||
| 5.11. Cửa sổ siêu âm từ mỏm (video 79) Mặt cắt 5 buồng | ![]() | Dòng Doppler màu tại: Đường ra thất trái (LVOT) Nhi trái (LA) Thất trái (LV) Van động mạch chủ (AV) Thất phải (RV)
| ||||
| 5.12. Cửa sổ siêu âm từ mỏm Mặt cắt 3 buồng (video 80) | ![]() | Dòng Doppler màu tại: Van hai lá (MV) Thất trái (LV) Đường ra thất trái (LVOT) Van động mạch chủ (AV) Nhi trái (LA)
| ||||
| 5.13. Cửa sổ siêu âm trên hõm ức Ghi hình quai động mạch chủ (video 81 và 82) | ![]() | Dòng Doppler màu tại: Động mạch chủ lên (Asc Ao) Quai động mạch chủ (Transverse arch) Động mạch chủ xuống (Desc Ao)
| ||||
| 5.14. Cửa sổ siêu âm từ mỏm Mặt cắt 4 buồng Ghi hình các tĩnh mạch phổi (video 83) | ![]() | Dòng Doppler màu tại: Các tĩnh mạch phổi (Pulvn) Nhi trái (LA) Van hai lá (MV) Thất trái (LV) Thất phải (RV) Nhĩ phải (RA)
| ||||
| 5.15. Cửa sổ siêu âm dưới sườn Ghi hình tĩnh mạch chủ dưới và tĩnh mạch gan (video 84) | ![]() | Dòng Doppler màu trong: Tĩnh mạch chủ dưới (IVC) Tĩnh mạch gan (Hvn)
| ||||
| 5.16. Cửa sổ siêu âm dưới sườn Ghi hình tĩnh mạch chủ dưới (video 85) | ![]() | Dòng Doppler màu tại tĩnh mạch chủ dưới
| ||||
| 5.17. Cửa sổ siêu âm dưới sườn (video 86) Mặt cắt 4 buồng | ![]() | Dòng Doppler màu tại: Thất phải (RV) Nhĩ phải (RA) Nhi trái (LA) Thất trái (LV) Vách liên nhĩ (IAS) | ||||
















